İlk olarak ay başında İngiltere'de görülen maymun çiçeği virüsünün ilerleyen günlerde çeşitli Avrupa ülkeleri ve ABD'ye yayılması, dünyada endişeleri artırıyor.
MAYMUN ÇİÇEĞİ VİRÜSÜNDEN ÖLÜM ORANI NE KADAR?
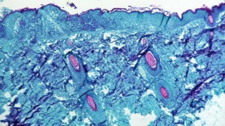
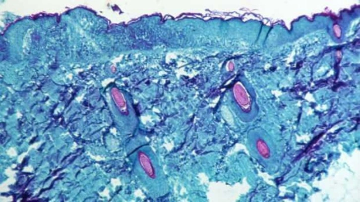
Endemik bir virüsün neden olduğu nadir hastalıklardan biri olarak bilinen maymun çiçeği, Kongo ve Batı Afrika türü olmak üzere ikiye ayrılıyor.
Virüsün Kongo türünün yüzde 10'a kadar ölüm riski bulunurken Batı Afrika türünün ise her 2 vakadan birinde yüzde 1 ölüm oranına sahip olduğu biliniyor.
Genellikle hayvandan insana ve nadiren insandan insana yakın temasla bulaşan virüs, vücutta yüksek ateş ve kaşıntılı kabarcıklara yol açabiliyor.
ÇİÇEK AŞILARI VİRÜSE KARŞI YÜZDE 85'E KADAR ETKİLİ
Maymun çiçeği vakalarının başka ülkelere yayılarak küresel salgına dönüşme ihtimali tartışılırken, virüsün ölüm riskine karşı etkili bir aşının olup olmadığı da merak ediliyor.
Konuya ilişkin İngiltere Sağlık Güvenliği Ajansı, maymun çiçeği virüsü için özel bir aşı olmadığını, ancak çiçek hastalığı aşısının bir miktar koruma sağladığını belirterek, ihtiyaç duyulanlara aşının teklif edildiği bilgisini paylaştı.
Dünya Sağlık Örgütü (DSÖ) verileri de çiçek hastalığını yok etmek için kullanılan aşıların maymun çiçeği virüsü hastalığına karşı da yüzde 85'e kadar etkili olduğunu gösteriyor.

